At Paulton Dental & Implant Centre, we are committed to helping our patients smile confidently again. We understand the importance of aiding patients in their journey towards a happy and healthy smile.
We offer a range of cosmetic dentistry treatments to improve the appearance of teeth, gums and/or bite. Our dentists will discuss options with you, including colour, positioning, shape, size, alignment and overall smile appearance.
During a consultation, our dentists will write up a treatment plan, breaking down the chosen course of action, personally tailored to you for the best outcome. Our treatment plans also break down the costs of each treatment so you have a clear understanding of all prices.
Give us a call to book your consultation!
Tooth-Coloured Fillings
Many people have silver (amalgam) fillings in their mouths. However, advancements in treatment now allow us to offer natural-looking fillings. These fillings also offer just as much security and safety as the silver (amalgam) ones. Our dentists can blend these fillings to the individual shade of your tooth, therefore ensuring confidence in every laugh and smile.
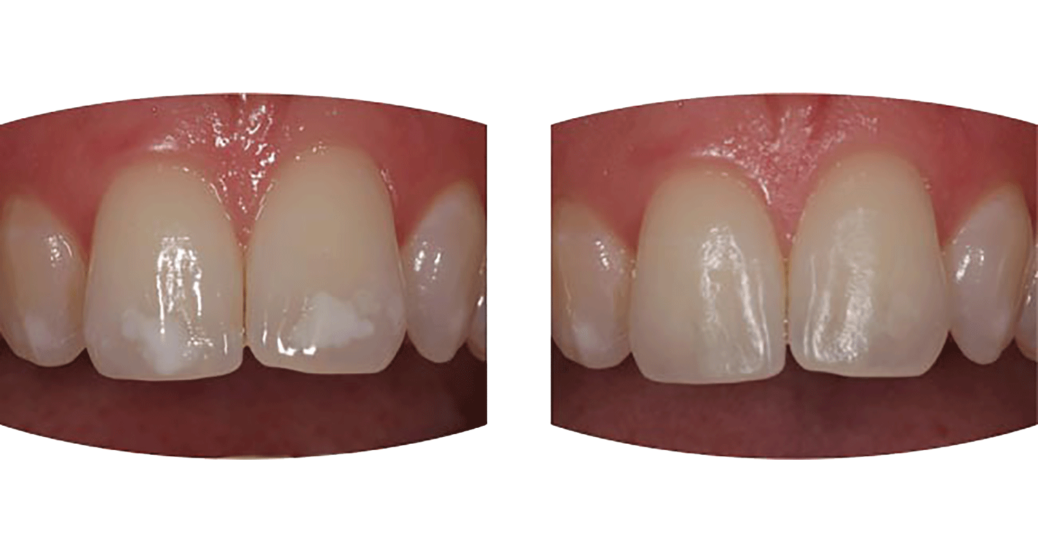
Composite Bonding
Composite bonding is the application of a tooth-coloured composite resin to repair a fractured, chipped, decayed, or discoloured tooth, or even just to change the shape of a tooth. Unlike veneers, which are manufactured in a laboratory and require a customised mould to achieve a proper fit, bonding can be completed in a single visit.
What is cosmetic dentistry?
Cosmetic dentistry focuses on improving the appearance of your teeth, gums, and smile. At Paulton Dental & Implant Centre, our cosmetic treatments include teeth whitening, veneers, bonding, and Invisalign — helping you achieve a brighter, more confident smile.
What are the most popular cosmetic dental treatments?
Some of the most common cosmetic treatments include teeth whitening, veneers, composite bonding, and Invisalign clear aligners. These options can correct issues like discoloration, uneven spacing, chips, and minor misalignment to enhance your smile’s appearance.
Is cosmetic dentistry only about appearance?
While cosmetic treatments primarily improve aesthetics, many also benefit your oral health. For example, correcting misaligned teeth can make cleaning easier, and repairing chipped or worn teeth helps protect them from further damage.
How long do cosmetic dental results last?
The results of cosmetic treatments vary depending on the procedure and your oral care habits. Professional teeth whitening can last up to a year, while veneers and bonding can last many years with proper maintenance and regular dental visits.
Can anyone have cosmetic dental treatment?
Most adults are suitable candidates for cosmetic dentistry, as long as their teeth and gums are healthy. During your consultation at Paulton Dental & Implant Centre, we’ll assess your oral health and recommend the best treatments to achieve your desired results safely.
Get in Touch
Let’s Create the Smile You Deserve.
Book your smile consultation today and take the first step towards a confident, healthy smile.
Hear From Our Happy Patients








The Dentist was very helpful as he talked me through the procedure at every stage. His bedside manner was gentle and kind.
He also made recommendations that I appreciated, so I hope I see him again at my next appointment.


Dentist explained everything he was doing and felt very safe and comfortable
Dental Insights & Tips
Explore our blog for expert advice, treatment
insights and oral care tips.

Can Teeth Implants Be Done the Same Day? Your Guide to a Faster Smile
Discover how same day dental implants work and who qualifies. Learn from Paulton Dental & Implant Centre, your trusted dentist in Paulton.

Dealing With Severe Tooth Pain: A Guide to Relief and Recovery
Learn causes, home relief tips, and when to see a dentist in Paulton for severe tooth pain. Visit Paulton Dental & Implant Centre for emergency dental care.

CBCT vs OPG: Which Scan Do You Need Before Implants?
CBCT vs OPG for dental implants explained. Learn which scan you need, why 3D imaging matters, and how Paulton Dental & Implant Centre plans safer implants.

